近日,常德市第一中医医院呼吸与危重症医学科团队成功为一名82岁高龄大咯血患者实施“双介入”(肺血管介入联合呼吸内镜介入)治疗,术后患者咯血停止、呼吸困难症状消失,成功解决病痛,挽救了患者生命。
6月13日下午,呼吸与危重症医学科一病区副主任医师陈铭接到了县级医院的紧急电话,一位82岁高龄大咯血女性患者即将转诊至常德市第一中医医院,且需进行急诊介入栓塞手术。
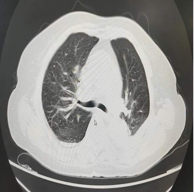
令人头痛的是,通过查看当地医院发来的胸部CT,患者左肺已经完全被血“淹没”,只有右侧肺在维持呼吸。在当地医院两次支气管镜下取血栓,均因活动性出血被迫终止。

患者左肺全肺不张
情况紧急,救治工作刻不容缓。若不及时取出左支气管内血栓,患者将会因持续缺氧诱发其他疾病,随时可能出现窒息,以及随后出现的阻塞性肺炎等,均将危及到患者生命。
在主任郑远方的带领下,科室立马启动大咯血紧急救治流程。面对重重困难,科室医护人员积极与患者家属耐心沟通,制定了详细的应急预案,最后决定为患者进行肺血管介入联合呼吸内镜介入的“双介入”治疗——先进行选择性支气管动脉栓塞止血,再立刻进行电子支气管镜下冷冻取栓以疏通气管,打开生命通道。
术前副主任医师陈铭通过查看患者支气管动脉血管造影,初步锁定了两条异常支气管动脉,在术中,他根据血管造影情况,精准定位,成功栓塞了病变支气管动脉。


支气管动脉栓塞前


支气管动脉栓塞后
在介入手术室,科主任郑远方继续完成支气管镜下冷冻取栓术。随着一条条血栓被冷冻取出,患者的血氧饱和度迅速上升至正常。当患者的气道完全清理后,无任何活动性出血表现,这时参与救治的团队成员终于松了一口气。患者平安返回病房,说的第一句话就是“感谢你们,我终于可以像以前一样舒畅地呼吸了”。

DSA床旁电子支气管镜下冷冻取栓

支气管镜下取出的大量条形血栓


术后左肺基本复张
据了解,咯血是呼吸系统的急危重症,与其他部位出血不同,少量的血凝块可能堵塞气道从而危及患者生命,因此咯血病死率超过70%。一次咯血量超过100ml或24h咯血量超过500ml为大咯血。大咯血最严重的并发症是窒息,最重要的处理措施是尽早畅通气道、立即阻断出血。
支气管镜是一种可视化检查工具,能够直接进入气道探查出血点,在发生大咯血时支气管镜介入最重要的作用是及时清理气道内血液,保证气道通畅和氧合,为下一步救治争取时间。而支气管动脉栓塞术,则是通过导管向出血的支气管动脉注入栓塞剂,迅速止血。它是一种微创的血管内技术,以其创伤性小、安全有效、止血迅速、并发症少等优点逐渐成为治疗咯血的一线治疗方法。两项技术联合,俗称为“双介入”,旨在以最快速度找到出血点并有效止血。
“双介入”技术的应用使常德地区大咯血患者的救治迈上了一个新的台阶,为咯血患者带来了新的生机。在此,常德市第一中医医院呼吸与危重症医学科一病区主任郑远方认真提醒广大市民,遇到咯血时应立即引起重视,即刻前往医院就诊,由专业医生制定最佳的诊治方案。
来源:常德市第一中医医院
作者:陈铭 李达
编辑:易赛楠


